〒581-0867
大阪府八尾市山本町1-10-5

電話マーク

お電話

メニュー

10代男性 顎変形症が原因で下顎がずれて非対称になっていた噛み合わせをサージェリーファースト法を併用した矯正治療で改善した症例

/

矯正

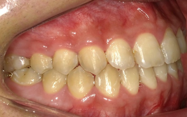
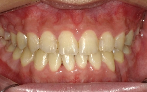
治療前

治療前画像

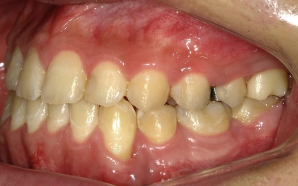
治療後

治療後画像
ご相談内容 「顔と顎がゆがんでいて、見た目が悪くしゃべりにくいのが気になる。また、前歯が噛み合っていないため、食べ物を噛み切ることができない」とご相談いただきました。
カウンセリング・診断結果 拝見したところ、骨格の問題により下前歯が上前歯より前に出ている前歯部反対咬合と、前歯が開いて噛み合わないオープンバイトが認められました。
さらに、下顎の骨が右方向にずれて上下の歯が噛み合う面が斜めになっていることで、顔面の非対称も見られます。
これらは顎変形症と呼ばれる状態で、現在は食べ物をしっかりと噛む機能が大きく制限されているうえ、発音や見た目に悪影響が出ていました。

このまま放置すると、顎関節に過度な負担がかかって違和感や痛みが生じたり、前歯で噛めないことで奥歯に過剰な力がかかり、歯の摩耗や歯根が折れることで歯を失ったりするリスクがあります。

以上のことから、外科手術と矯正治療を組み合わせた全体的な治療が必要だと診断しました。
行ったご提案・治療内容 詳しく検査をした結果、噛み合わせや顔の非対称性を改善するためには、外科手術をともなう矯正治療が必要であることをお伝えし、今回はサージェリーファースト法という治療方法をおすすめしました。

サージェリーファースト法とは、矯正治療を開始する前に外科手術を行う治療方法です。
従来の保険診療による顎変形症治療では外科手術前に矯正治療を行いますが、その場合は数ヶ月から数年にわたり、顔貌が現状よりも悪化するリスクがあります。
サージェリーファースト法では、治療開始直後から顔のゆがみを改善することが可能です。
また、外科手術を行ったあとに矯正治療を進めることで歯の移動速度が早くなり、治療期間を大幅に短縮できること、入院の必要はなく日帰りで手術ができること、術後に顎を固定する必要がなく日常生活での不便さが軽減できることもお伝えしました。

さまざまなメリットがある一方で、手術後の腫れや痛み、一時的な感覚麻痺のリスクがあることや、自費診療なので治療費が高額になることも併せて説明しています。

加えて外科手術後の矯正治療では、歯の表面に四角いボタン状の装置を接着し、そこにワイヤーを通して歯を動かすマルチブラケット装置と、歯を効率的に動かすための小さなネジであるアンカースクリューを併用する方法を提案しました。

患者様には、治療の進め方や特徴、注意点や費用などをしっかりとご理解いただいたうえで、提案した治療方法に同意いただきました。

まずは、歯を正しい位置に動かすスペースを確保するために、左下奥歯(第1小臼歯)を抜きました。続いて、サージェリーファースト法による下顎骨骨切り手術を慎重に行います。

次に、上下の歯にマルチブラケット装置を装着し、歯を動かす起点とするためにアンカースクリューを埋入します。
今回は患者様と相談のうえ、治療中の審美性を考慮して目立ちにくい色調のブラケットを採用しました。
その後は定期的に来院いただき、ワイヤーの調整を行いながら歯並びと噛み合わせを徐々に整えていきました。

矯正治療が終了したあとは、以前神経を除去する処置をしたものの被せ物を装着していなかった左上奥歯に対し、強度と審美性を兼ね備えた白い素材のジルコニアクラウンを装着する治療を行っています。

最後に、審美性、噛み合わせ、機能性などに問題がないことを確認し、治療を終了しました。
治療期間の目安 1年7ヶ月
治療回数の目安 -
治療費総額の目安 約1,500,000円
この治療のリスクについて ・外科処置後に腫れ、出血が生じる場合があります
・外科処置後に痛みが長引く場合があります。必要に応じ痛み止めを併用します
・治療中、装置によってまれに頬の内側が傷つき、口内炎になる場合があります
・歯の移動に伴って、違和感や痛みを感じる場合があります
・冷たいものを飲んだときに歯がしみる「知覚過敏」の症状が出る場合があります
・装着に際し、天然歯を削る場合があります
担当歯科医師名 金田叔朗(カナタ歯科医院 堺)

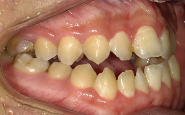
治療前

治療前画像 治療前画像 治療前画像 治療前画像 治療前画像 治療前画像

治療中

治療中画像

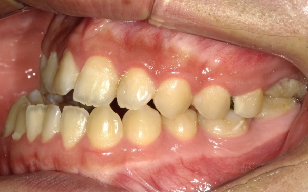
治療後

治療後画像 治療後画像 治療後画像 治療後画像 治療後画像 治療後画像

さわだデンタルクリニック

住所

〒581-0867
大阪府八尾市山本町1-10-5

最寄駅

河内山本駅より徒歩2分

駐車場

有り(5台)

09:30〜19:00
お電話でのお問い合わせ

072-999-8888

BACK TO TOP

アクセスアイコン

アクセス

料金アイコン

料金

お電話アイコン

お電話

メニュー