〒581-0867
大阪府八尾市山本町1-10-5

電話マーク

お電話

メニュー

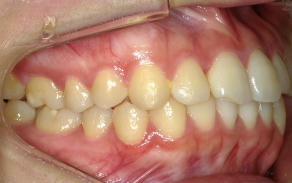
20代女性 過去のマウスピース矯正で突き出てしまった口元をマルチブラケット装置とアンカースクリューを併用した矯正治療で改善しEラインを整えた症例

/

矯正

治療前

治療前画像

治療後

治療後画像
ご相談内容 「過去にマウスピース矯正を行ったが前歯と口元がとび出て見た目が悪くなったので、抜歯して矯正しEラインを整えたい。また、上顎前歯が下に伸びているため、笑った時に下の唇に接触するのも改善したい」とご相談いただきました。
カウンセリング・診断結果 拝見したところ、上下奥歯の噛み合わせは正常でしたが、上下前歯は唇側に傾いており上下顎前突の状態でした。そのため口が閉じづらく、閉じると口元が前方に突き出てしまい、いわゆる口ゴボと呼ばれる横顔になっています。

横顔の理想的なバランスは、鼻の先とあごの先を結んだEラインの少し内側に上下の唇が位置している状態と言われますが、患者様は上下顎前突の影響であご先が下がり、口元は突き出ているため、バランスが崩れていました。

上下顎前突は見た目の問題だけでなく、口が閉じにくいことで口呼吸になりやすいという問題があります。
口呼吸が習慣になると、口の中が乾燥しやすくなり、虫歯や歯周病のリスクも高まります。

以上のことから、見た目と機能の両方を改善するために、上下の前歯を後方に移動させる矯正治療が必要と診断しました。
行ったご提案・治療内容 患者様には、前歯が後方に移動するスペースを確保するために上下左右の歯(第1小臼歯)の計4本を抜歯して、ワイヤー矯正を行う方法を提案しました。

ワイヤー矯正は、マウスピース矯正と比べると装置が目立ちやすいというデメリットがありますが、抜歯したスペースを正確にコントロールして歯をしっかり後ろに移動させることができます。
メリットとデメリットについて丁寧にお伝えし、治療に同意いただきました。

まず、上下左右の第1小臼歯を抜歯し、歯の表面に接着した器具にワイヤーを通して歯を動かすマルチブラケット装置を取り付けます。

次に、より効果的に歯並びを整えるために、アンカースクリューと呼ばれる矯正治療用の小さなネジを上の左右奥歯の歯茎に3本埋め込みました。

通常の矯正治療では、奥歯を土台にして前歯を後ろに下げますが、奥歯と前歯が引っ張り合うことで前歯が後方に下がるだけでなく奥歯も前方に移動するため、前歯の後退量が減少する可能性があります。
マルチブラケット装置とアンカースクリューを併用すれば、奥歯を前方に動かすことなく、抜歯したスペースをできる限り活かして前歯を後方へ引っ張ることができます。

その後は、定期的に装置を調整しながら歯を正しい位置に移動させました。
前歯が後ろに下がったことで下あごが前に動きやすくなり、あご先が前方かつ上に位置が変わる「オートローテーション」も生じて、バランスの取れた横顔に改善しました。

矯正治療後には、歯が後戻りしないようにリテーナーを装着していただいています。
治療期間の目安 矯正期間 2年
治療費総額の目安 約950,000円
(検査代や月々の調整料、リテーナー代等を含む)
この治療のリスクについて ・外科処置後に腫れ、出血が生じる場合があります
・外科処置後に痛みが長引く場合があります。必要に応じ痛み止めを併用します
・治療中、装置によってまれに頬の内側が傷つき、口内炎になる場合があります
・歯の移動に伴って、違和感や痛みを感じる場合があります
・冷たいものを飲んだときに歯がしみる「知覚過敏」の症状が出る場合があります
・正しいブラッシングやメンテナンスを行わない場合、虫歯や歯周病のリスクが高まります
担当歯科医師名 金田叔朗

治療前

治療前画像 治療前画像 治療前画像 治療前画像

治療中

治療後

治療後画像 治療後画像 治療後画像 治療後画像

さわだデンタルクリニック

住所

〒581-0867
大阪府八尾市山本町1-10-5

最寄駅

河内山本駅より徒歩2分

駐車場

有り(5台)

09:30〜19:00
お電話でのお問い合わせ

072-999-8888

BACK TO TOP

アクセスアイコン

アクセス

料金アイコン

料金

お電話アイコン

お電話

メニュー