〒581-0867
大阪府八尾市山本町1-10-5

電話マーク

お電話

メニュー

20代女性 アンカースクリューで前歯を後退させる矯正治療により口元の突出感を改善し横顔の審美性を整えた症例

/

矯正

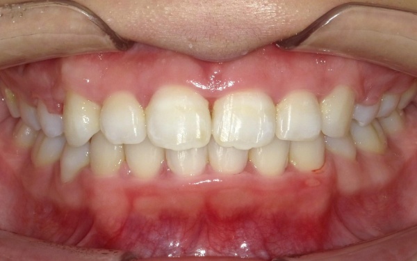
治療前

治療前画像

治療後

治療後画像
ご相談内容 「前歯が出ていて口元が前に突出しているので、抜歯をして口元を下げる矯正でEラインを整えたい」とご相談いただきました。
カウンセリング・診断結果 拝見したところ、上下の前歯が前に突き出て生えている「上下顎前突」が認められました。
奥歯で噛んだ際、上下顎の位置関係は正常でしたが、上下前歯が前方に傾いて生えており、前歯中央の位置がずれています。

さらに、上顎の歯並びが前方に突出していることで口が閉じにくく、横から見ると唇が前に飛び出している、いわゆる「口ゴボ」の状態です。
一般的に、唇が鼻先と顎先を結ぶ「Eライン」からはみ出していない状態が理想的な横顔とされていますが、患者様はEラインよりも口唇が外側に出ており、審美性が損なわれていました。

また、口が閉じにくいと口腔内が乾燥しやすくなる傾向があります。
口腔内が乾燥すると細菌が増加しやすくなるため、虫歯や歯茎が炎症を起こす「歯周病」のリスクが高まります。

以上のことから、横顔の審美性や口の閉じにくさを改善するためには、前歯を後退させる矯正治療が必要であると診断しました。
行ったご提案・治療内容 歯を移動するためには、上顎左右の奥歯(第1小臼歯)、下顎右側の奥歯(第2小臼歯)、下顎左側の奥歯(第1小臼歯)の計4本を抜いてスペースを作る必要があります。その後、空いたスペースに前歯を後退させることで、口の閉じにくさや横顔の突出感を改善できることを丁寧にお伝えし、同意いただきました。

まず、上下左右の奥歯を計4本を抜きます。抜歯後、上下の歯には、歯の表面に接着したボタン状の器具にワイヤーを通して歯並びを整える「マルチブラケット装置」を取り付けました。

さらに、上顎の左右奥歯部分の歯茎には矯正治療用の小さなネジ「アンカースクリュー」を3本埋入し、アンカースクリューを固定源にして前歯を後方に引っ張る「リトラクション」を行います。
アンカースクリューを使用しない矯正治療では、通常後方の奥歯を固定源として前の歯を後ろに引っ張りますが、この方法だと前後の歯が引っ張り合いをすることで奥歯が前方に移動するため、前歯を後ろに移動する量が減少してしまいます。

今回は、アンカースクリューとマルチブラケット装置を併用したことで、抜歯したスペースを無駄なく利用しながら歯を移動することができたため、横顔の見た目の改善につながりました。

歯の移動が終了したあとは、正しく並んだ歯が後戻りするのを防ぐための「保定装置」を装着していただき、歯並びの維持に努めています。
治療期間の目安 矯正期間 1年8ヶ月
治療費総額の目安 約950,000円
(検査代や月々の調整料、リテーナー代等含む)
この治療のリスクについて ・外科処置後に腫れ、出血が生じる場合があります
・治療中、発音しにくい場合があります
・治療中、装置によってまれに頬の内側が傷つき、口内炎になる場合があります
・歯の移動に伴って、違和感や痛みを感じる場合があります
・冷たいものを飲んだときに歯がしみる「知覚過敏」の症状が出る場合があります
・正しいブラッシングやメンテナンスを行わない場合、虫歯や歯周病のリスクが高まります
担当歯科医師名 金田叔朗

治療前

治療前画像 治療前画像 治療前画像 治療前画像

治療中

治療後

治療後画像 治療後画像 治療後画像 治療後画像

さわだデンタルクリニック

住所

〒581-0867
大阪府八尾市山本町1-10-5

最寄駅

河内山本駅より徒歩2分

駐車場

有り(5台)

09:30〜19:00
お電話でのお問い合わせ

072-999-8888

BACK TO TOP

アクセスアイコン

アクセス

料金アイコン

料金

お電話アイコン

お電話

メニュー