〒581-0867
大阪府八尾市山本町1-10-5

電話マーク

お電話

メニュー

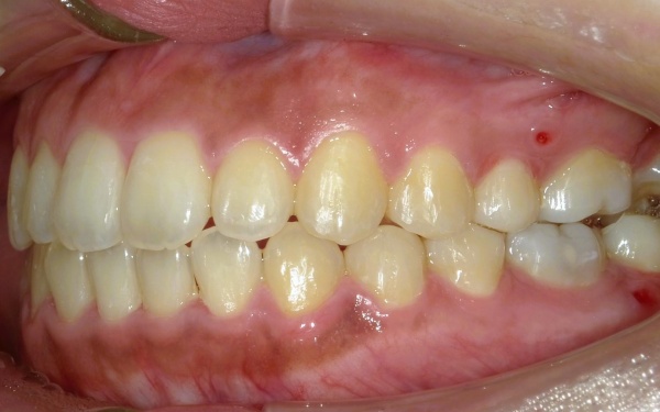
20代女性 重度のオープンバイトを小臼歯を抜歯しない非抜歯矯正かつ上顎前歯を挺出させずに(伸ばさずに)短期間で噛み合わせと口元の審美性を改善した症例

/

矯正

治療前

治療前画像

治療後

治療後画像
ご相談内容 「前歯で食べ物が噛み切れないのが気になる。できれば手術はせずに治したい」とご相談いただきました。
カウンセリング・診断結果 拝見したところ、上下の奥歯を噛み合わせた際、骨格的な要因によって前歯が噛み合わずに隙間ができる「開咬(かいこう)」、いわゆるオープンバイトが認められました。
患者様の場合、重度の開咬のため、前歯で物を噛み切ることが困難な状態です。

また、常に上下前歯の間に隙間があるため、発音に影響が出たり噛み合わせたときに奥歯への負担が増加したりすることで、将来的に歯や顎に痛みが生じるおそれがあります。

以上のことから、機能性や審美性を改善するために矯正治療を行う必要があると診断しました。
行ったご提案・治療内容 開咬が重度であることから、本来であれば顎の骨切り手術を併用した矯正治療を行うのが一般的ですが、患者様は手術を避けたいと希望されていました。

手術を行わずに治療する場合は、奥歯を抜いて歯が動くスペースを確保してから、矯正治療と上下の歯にかける矯正治療用のゴム「顎間ゴム」を併用して噛み合わせを改善する方法があります。
しかしこの治療方法では、ゴムの作用によって歯茎から歯を引っ張り出す「挺出」が生じ、その結果、鼻下から顎先までの「下顔面」が長くなるリスクがあるのがデメリットです。
また、前歯が過度に挺出しすぎて顔立ちの審美性が損なわれたり、噛み合わせが後戻りしたりするおそれもあります。

そこで今回は、歯を効率的に移動させるため、顎の骨に埋め込んで歯を動かす固定源とする矯正用の小さなネジ「アンカースクリュー」を使用した矯正治療を提案しました。
アンカースクリューを用いて、上の前歯を挺出させずに上の奥歯と下の歯の角度を調整することで、手術をせずにオープンバイトの改善が見込めます。
また、この治療方法なら噛み合わせだけでなく、下顔面が短縮されることで審美性の向上も期待できることを説明し、同意いただきました。

矯正治療に際して、上の左右奥歯(第2大臼歯)と、下左右に埋まっていた親知らず(第3大臼歯)、計4本の抜歯を行います。
その後、歯の表面に接着した器具にワイヤーを通して歯並びを整える「マルチブラケット装置」と、アンカースクリューを取り付けました。
また、上左右の第2大臼歯の位置には抜いた親知らずを移動させ、前歯から奥歯まで全体的にしっかりと噛み合うように調整を重ねてから、治療を終了しています。
治療期間の目安 矯正期間 1年2ヶ月
治療費総額の目安 約950,000円
(検査代や月々の調整料、リテーナー代等を含む)
この治療のリスクについて ・外科処置後に腫れ、出血が生じる場合があります
・外科処置後に痛みが長引く場合があります。必要に応じ痛み止めを併用します
・治療中、装置によってまれに頬の内側が傷つき、口内炎になる場合があります
・歯の移動に伴って、違和感や痛みを感じる場合があります
・冷たいものを飲んだときに歯がしみる「知覚過敏」の症状が出る場合があります
・正しいブラッシングやメンテナンスを行わない場合、虫歯や歯周病のリスクが高まります
担当歯科医師名 金田叔朗

治療前

治療前画像 治療前画像 治療前画像 治療前画像 治療前画像 治療前画像 治療前画像

治療中

治療中画像

治療後

治療後画像 治療後画像 治療後画像 治療後画像 治療後画像 治療後画像 治療後画像

さわだデンタルクリニック

住所

〒581-0867
大阪府八尾市山本町1-10-5

最寄駅

河内山本駅より徒歩2分

駐車場

有り(5台)

09:30〜19:00
お電話でのお問い合わせ

072-999-8888

BACK TO TOP

アクセスアイコン

アクセス

料金アイコン

料金

お電話アイコン

お電話

メニュー