〒581-0867
大阪府八尾市山本町1-10-5

電話マーク

お電話

メニュー

20代女性 受け口と顎変形症をサージェリーファースト法による骨切り手術を併用した矯正治療で改善した症例

/

矯正

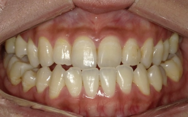
治療前

治療前画像

治療後

治療後画像
ご相談内容 「下顎が出て受け口なので、歯並びと噛み合わせを治したい」とご相談いただきました。
カウンセリング・診断結果 拝見したところ、下顎が上顎に対して過度に成長して上顎より前に出ている「骨格性下顎前突」になっており、上下前歯の噛み合わせが逆になる「前歯部反対咬合(ぜんしぶはんたいこうごう)」、いわゆる受け口の状態です。
また、上顎と下顎の位置や大きさに著しい差がある「顎変形症」も認められました。

このまま放置すると、見た目に悪影響を及ぼすだけでなく、発音がしにくくなったりしっかり噛むことが難しくなったりするおそれがあります。

以上のことから、顎の位置を整える外科手術と、歯並びと噛み合わせを改善する矯正治療が必要であると診断しました。
行ったご提案・治療内容 顎変形症と歯並び、そして噛み合わせを治療するため、以下の方法を提案しました。

①歯を適切な位置に並べるスペースを確保する目的で、下顎の歯2本(左右の第1小臼歯)を抜く
②下顎の骨を適切な長さに調整するため、下顎の骨を切る手術を行う
③歯の表面に「ブラケット」と呼ばれる四角い装置を装着し、そこにワイヤーを通す「マルチブラケット装置」を用いて歯並びを整える

骨切り手術を行うことで、噛み合わせと下顎の突出感が改善されて顔の形が整うため、小顔効果も期待できます。また、日帰り手術なので入院の必要はありません。

一般的な受け口の治療では、先に矯正治療を行ってから外科手術を実施しますが、この場合は数ヶ月から数年にわたって受け口が一時的に悪化するリスクがあります。さらに、術後にも矯正が必要です。

そこで今回は、最初に骨切り手術を行ってから矯正治療で噛み合わせを整える「サージェリーファースト法」を採用しました。
サージェリーファースト法は術前の矯正治療が不要で、受け口が一時的に悪化する心配もなく、手術後は顎の骨の代謝が促進されて歯の移動が早くなるため、治療期間の短縮も期待できます。
以上の治療計画について丁寧に説明したところ、同意いただきました。

まずは歯を適切な位置に並べるスペースを確保するために、抜歯と骨切り手術を実施します。
その後、マルチブラケット装置を装着して歯並びを整え、治療を終了しました。
治療期間の目安 1年3ヶ月
治療費総額の目安 約1,400,000円
この治療のリスクについて ・治療中、発音しにくい場合があります
・治療中、舌が動かしにくいことがあります
・治療中、装置によってまれに頬の内側が傷つき、口内炎になる場合があります
・持病をお持ちの方や、服用中のお薬の種類によっては、外科処置ができない場合があります
・外科処置後に腫れ、出血が生じる場合があります
・外科処置後に痛みが長引く場合があります。必要に応じ痛み止めを併用します
担当歯科医師名 金田叔朗(カナタ歯科医院)

治療前

治療前画像 治療前画像 治療前画像 治療前画像 治療前画像

治療中

治療後

治療後画像 治療後画像 治療後画像 治療後画像 治療後画像

さわだデンタルクリニック

住所

〒581-0867
大阪府八尾市山本町1-10-5

最寄駅

河内山本駅より徒歩2分

駐車場

有り(5台)

09:30〜19:00
お電話でのお問い合わせ

072-999-8888

BACK TO TOP

アクセスアイコン

アクセス

料金アイコン

料金

お電話アイコン

お電話

メニュー