〒581-0867
大阪府八尾市山本町1-10-5

電話マーク

お電話

メニュー

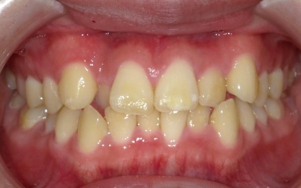
20代女性 デコボコに生えた前歯をマルチブラケット装置とアンカースクリューを併用し、歯を抜かない非抜歯矯正で改善した症例

/

矯正

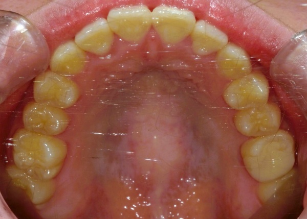
治療前

治療前画像

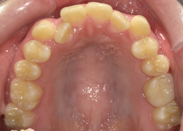
治療後

治療後画像
ご相談内容 「前歯がガタガタしているのが気になる。できれば歯を抜かずに治療したい」とご相談いただきました。
カウンセリング・診断結果 拝見したところ、歯が並ぶスペースが不足していることが原因で、上下の前歯が正常な位置からずれたりねじれたりしてデコボコに生えている「叢生(そうせい)」が見られます。

また、叢生によって前歯の前後的な位置もずれており、左右前歯の一部は、上の歯より下の歯が前で噛み合う「交叉咬合(こうさこうごう/クロスバイト)」も認められました。

今の歯並びをこのまま放置すると、歯ブラシが届きにくい部分で虫歯や歯茎が炎症を起こす「歯周病」のリスクが高まったり、噛み合わせの悪さから将来的に顎の痛みが発生したりするおそれがあります。

以上の理由から、歯並びや噛み合わせを矯正治療で改善する必要があると診断しました。
行ったご提案・治療内容 患者様の場合は、とくに右上前歯の叢生が重度であるため、本来は犬歯と奥歯の間にある「小臼歯」を抜いてから矯正治療を進める必要がありますが、患者様は抜歯を避けた治療を希望されました。

歯が並ぶスペースが不足している歯並びで抜歯をせずに治療を進める場合、治療方法は複数ありますが、それぞれにデメリットが伴うことをお伝えしました。

1:歯並びのアーチを大きく横に拡大する方法
過度な拡大は、歯を支える骨「歯槽骨」の範囲から歯がはみ出したり、噛み合わせが悪くなったりするおそれがある。

2:歯と歯の間を削って隙間を作る方法
この治療方法は歯を削る量がわずかなので、患者様の歯並びでは十分なスペースを確保することができない。

3:前歯を前方に押し出して整列させる方法
前歯が歯槽骨から飛び出して出っ歯のような顔つきになるなど、見た目が悪化するリスクがある。

以上のことから、歯を並べるスペースを確保するために、小臼歯ではなく上下左右に埋まっている親知らず「埋伏智歯」(第3大臼歯)を抜いてから歯並びを整える治療を提案しました。
埋まった親知らずを抜くことで、横幅を無理に拡大したり歯を削ったり、前歯を押し出したりせずに歯並びの改善が期待できることを丁寧に説明し、同意いただきました。

まず上下左右の親知らず(第3大臼歯)を4本抜き、次に歯の表面に装着した器具にワイヤーを通して歯を移動させる「マルチブラケット装置」を、上下の歯に取り付けます。
次に、矯正治療用の小さなネジ「アンカースクリュー」を上下とも顎の骨に埋め込み、これを固定源として抜歯した部分に向かって奥歯をしっかり引っ張り、効率的に歯を動かしました。

その後、歯並びや噛み合わせが整ったことを確認して、治療を終了しています。
治療期間の目安 矯正期間 11ヶ月
治療費総額の目安 約950,000円
(検査代や月々の調整料、リテーナー代等を含む)
この治療のリスクについて ・外科処置後に腫れ、出血が生じる場合があります
・外科処置後に痛みが長引く場合があります。必要に応じ痛み止めを併用します
・治療中、装置によってまれに頬の内側が傷つき、口内炎になる場合があります
・歯の移動に伴って、違和感や痛みを感じる場合があります
・冷たいものを飲んだときに歯がしみる「知覚過敏」の症状が出る場合があります
・正しいブラッシングやメンテナンスを行わない場合、虫歯や歯周病のリスクが高まります
担当歯科医師名 金田叔朗

治療前

治療前画像 治療前画像 治療前画像 治療前画像 治療前画像 治療前画像

治療中

治療後

治療後画像 治療後画像 治療後画像 治療後画像 治療後画像 治療後画像

さわだデンタルクリニック

住所

〒581-0867
大阪府八尾市山本町1-10-5

最寄駅

河内山本駅より徒歩2分

駐車場

有り(5台)

09:30〜19:00
お電話でのお問い合わせ

072-999-8888

BACK TO TOP

アクセスアイコン

アクセス

料金アイコン

料金

お電話アイコン

お電話

メニュー