〒581-0867
大阪府八尾市山本町1-10-5

電話マーク

お電話

メニュー

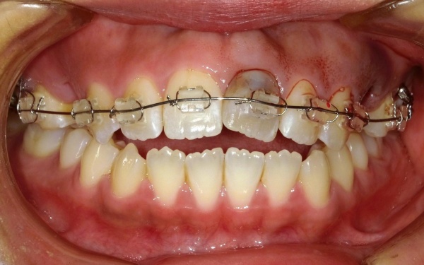
20代女性 前歯が噛み合わない歯並びをマルチブラケット装置とアンカースクリューで改善した症例

/

矯正

治療前

治療前画像

治療後

治療後画像
ご相談内容 「前歯で食べ物を噛み切ることができないので、歯並びを治したい」とご相談いただきました。
カウンセリング・診断結果 拝見したところ、上下の歯を噛み合わせた際に前歯が噛み合わず隙間ができる「開咬(かいこう)」と、上の奥歯に対して下の奥歯が通常より後方にずれて噛んでいる「アングル2級」が認められました。

また、下顎が上顎に対して後方にずれた「骨格性2級」でもあったため、下顎が下方向へ押し下げられ、横から見ると顎先がないように見える「ハイアングル」の傾向もあります。

この状態を放置すると、噛み合わせたときに奥歯への負担が大きくなり、将来的には歯や顎の関節に痛みが生じるおそれもあります。
よって、審美性や機能性の改善を目指して矯正治療を行う必要があると診断しました。

また、左上の前歯は神経をとる治療を行った「失活歯」のため、周囲の歯に比べて色が暗く、目立っていました。そのため、矯正治療後に被せ物治療を行うことで、周囲の歯と調和する自然な色に整えることが可能と診断しています。
行ったご提案・治療内容 審美性や機能性を改善するために、歯の表面に「ブラケット」と呼ばれる四角い装置を接着し、そこにワイヤーを通して歯を動かす「マルチブラケット装置」と、矯正治療用の小さなネジ「アンカースクリュー」を併用する矯正治療を提案しました。

開咬を改善する場合、前歯を歯茎から引っ張り出す「挺出(ていしゅつ)」を行うと、前歯が伸びたような状態になって審美性が損なわれるおそれがあります。
しかし、アンカースクリューを併用することで奥歯を歯茎に沈める「圧下」が可能となり、前歯が長く見えないように調整することが可能です。さらに奥歯の噛み合わせも変わり、下顎が前に出ることで下顔面の長さが短くなる効果も期待できます。

また、この治療を行うにあたり、上左右の歯(第1小臼歯)と下左右の歯(第2小臼歯)の計4本を抜歯し、歯を動かすためのスペースを確保する必要があることを説明し、同意いただきました。

まず上下4本の歯を抜き、審美性を考慮して透明なブラケットのマルチブラケット装置とアンカースクリューを装着し、歯を慎重に動かします。
アンカースクリューを固定源とすることで、移動させたい歯だけを効率的に動かすことができるため、治療期間の短縮が期待できます。
治療は2年5ヶ月かけて行い、しっかりと歯並びと噛み合わせを整えました。

矯正治療後は変色していた左上前歯を周囲の歯と同じ白さにするため、歯を削って型取りを行い、強度と耐久性に優れた白い被せ物「ジルコニアクラウン」を装着して、治療を完了しています。
治療期間の目安 矯正期間 2年5ヶ月
治療費総額の目安 約1,050,000円
(検査代や月々の調整料、リテーナー代等を含む)
この治療のリスクについて ・外科処置後に腫れ、出血が生じる場合があります
・治療中、装置によってまれに頬の内側が傷つき、口内炎になる場合があります
・歯の移動に伴って、違和感や痛みを感じる場合があります
・正しいブラッシングやメンテナンスを行わない場合、虫歯や歯周病のリスクが高まります
・装着に際し、天然歯を削る場合があります
・硬い素材の場合、他の天然歯を傷つけることがあります
担当歯科医師名 金田叔朗

治療前

治療前画像 治療前画像

治療中

治療中画像 治療中画像 治療中画像

治療後

治療後画像 治療後画像 治療後画像 治療後画像

さわだデンタルクリニック

住所

〒581-0867
大阪府八尾市山本町1-10-5

最寄駅

河内山本駅より徒歩2分

駐車場

有り(5台)

09:30〜19:00
お電話でのお問い合わせ

072-999-8888

BACK TO TOP

アクセスアイコン

アクセス

料金アイコン

料金

お電話アイコン

お電話

メニュー