〒581-0867
大阪府八尾市山本町1-10-5

電話マーク

お電話

メニュー

20代女性 マルチブラケット装置とアンカースクリューを併用してガタガタの歯並びや噛み合わせを改善した症例

/

矯正

治療前

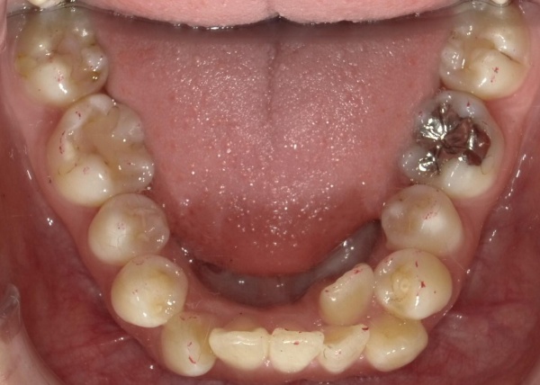
治療前画像

治療後

治療後画像
ご相談内容 「前歯がガタガタしているのを治したい。噛み合わせが悪いのも気になる」とご相談いただきました。
カウンセリング・診断結果 拝見したところ、歯が生え揃うスペースが不足しているため、上下の前歯がガタガタに生える「叢生(そうせい)」でした。
骨格的な原因により、上の歯並びに対して下の歯並びが前方にずれて噛み合う「骨格性3級」だけでなく、上左右の側切歯は下の前歯の内側に噛み合っており、噛み合わせが反対になる「クロスバイト」の状態です。

また噛み合わせたときに、上下前歯の中心「正中」が顔の真ん中に位置するのが一般的ですが、患者様の場合、下前歯の中心が上顎の正中に対して左側に歯1本分ほどずれていました。

このまま放置すると、見た目が悪いだけでなく、噛み合わせに問題が出る、歯ブラシが当てにくいことで虫歯や歯周病のリスクも高まるといった可能性があります。

以上のことから、歯並びと噛み合わせを改善する治療が必要と診断しました。
行ったご提案・治療内容 上下の叢生と正中のズレを改善するため、歯の表面に「ブラケット」と呼ばれる四角い装置を装着し、そこにワイヤーを通す「マルチブラケット装置」を用いた矯正治療を提案しました。

併せて、上下左右の歯4本(第1小臼歯)を抜歯し、歯を移動させるスペースを確保すること、上下の顎の骨に矯正用の小さなネジ「アンカースクリュー」を埋め込んで歯を動かすための固定源にすることを説明し、治療に同意いただきました。
アンカースクリューを使用すれば、ほかの歯に負担をかけずに効率的に歯を動かせるため、治療期間を短縮できるメリットがあります。

まず、歯4本を抜歯してからアンカースクリューを埋め込み、装着したマルチブラケット装置を定期的に調整しながら歯を適切な位置に移動させました。

治療が完了したあとは、歯の後戻りを防ぐための装置「リテーナー」を装着していただき、噛み合わせと歯並びを安定させて、治療を終了しました。
治療期間の目安 矯正期間 1年4ヶ月
治療費総額の目安 約950,000円
(検査代や月々の調整料、リテーナー代等を含む)
この治療のリスクについて ・抜歯後に腫れ、出血が続く場合があります
・治療中、発音しにくい場合があります
・治療中、舌が動かしにくいことがあります
・治療中、装置によってまれに頬の内側が傷つき、口内炎になる場合があります
・歯の移動に伴って、違和感や痛みを感じる場合があります
・正しいブラッシングやメンテナンスを行わない場合、虫歯や歯周病のリスクが高まります
担当歯科医師名 金田叔朗

治療前

治療前画像 治療前画像 治療前画像 治療前画像

治療中

治療後

治療後画像 治療後画像 治療後画像 治療後画像

さわだデンタルクリニック

住所

〒581-0867
大阪府八尾市山本町1-10-5

最寄駅

河内山本駅より徒歩2分

駐車場

有り(5台)

09:30〜19:00
お電話でのお問い合わせ

072-999-8888

BACK TO TOP

アクセスアイコン

アクセス

料金アイコン

料金

お電話アイコン

お電話

メニュー