〒581-0867
大阪府八尾市山本町1-10-5

電話マーク

お電話

メニュー

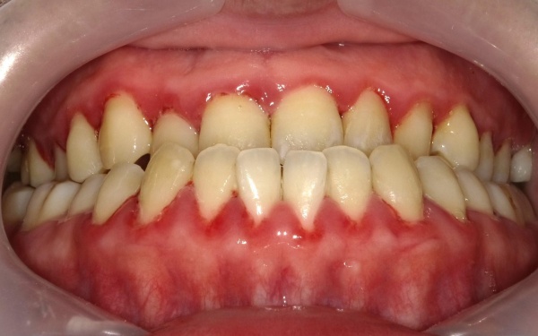
20代男性 顎変形症に伴う受け口をサージェリーファースト法による外科手術を併用した矯正治療で改善した症例

/

矯正

治療前

治療前画像

治療後

治療後画像
ご相談内容 「受け口が気になるので治療したい」とご相談いただきました。
カウンセリング・診断結果 拝見したところ、上下顎の骨の大きさや形、位置などの異常によって、噛み合わせの問題や顔の変形などの症状があらわれる「顎変形症」が認められました。

具体的には、下顎が過度に成長し上顎に対して下顎が前方に突出している「骨格性下顎前突症」で、上下前歯の噛み合わせが逆になる「前歯部反対咬合(ぜんしぶはんたいこうごう)」、いわゆる受け口の状態です。

このまま放置すると審美性を損なうだけでなく、発音がしにくくなったりしっかり噛むことが難しくなったりするおそれがあるため、治療が必要だと診断しました。
行ったご提案・治療内容 患者様には、以下の手順で受け口の治療を行うことを提案しました。

1:適切な骨の長さに調整するために下顎の骨を切る外科手術を併用した矯正治療を行う
2:歯を適切な位置に並べるスペースを確保する目的で下顎から左右の歯(第1小臼歯)を1本ずつ抜く
3:歯の表面に「ブラケット」という四角い装置を装着し、そこにワイヤーを通す「マルチブラケット装置」を用いて歯並びを整える

骨切り手術を行うことで噛み合わせを改善するだけでなく、下顎が突出した顔の形も整えることが可能なことから小顔効果にも期待が持てます。また、日帰り手術のため入院の必要もありません。

受け口の治療では、先に矯正を行ってから外科手術を行う場合、数ヶ月から数年にわたり受け口が一時的に悪化する期間があるうえに、術後も矯正が必要となります。
そこで今回は、先に顎変形症の外科手術を行ってから歯列矯正で噛み合わせを整える「サージェリーファースト」を採用しました。
サージェリーファーストを行うことで術前の矯正治療が不要になるため、受け口が一時的に悪化する心配はありません。また、手術後は顎の骨の代謝が促進されて歯の移動が早くなる効果も期待でき、治療期間の短縮にもつながります。

以上の説明を丁寧に行い、患者様の同意をいただいたため、まずはスペースを確保するための抜歯と骨切り手術を行いました。
その後、マルチブラケット装置を装着して歯並びを整え、治療を終了しています。
治療期間の目安 2年10ヶ月
(患者様都合により1年4ヶ月間治療を中断)
治療費総額の目安 約1,400,000円
この治療のリスクについて ・持病をお持ちの方や、服用中のお薬の種類によっては、外科処置ができない場合があります
・外科処置後に腫れ、出血が生じる場合があります
・外科処置後に痛みが長引く場合があります。必要に応じ痛み止めを併用します
・治療中、装置によってまれに頬の内側が傷つき、口内炎になる場合があります
・歯の移動に伴って、違和感や痛みを感じる場合があります
・正しいブラッシングやメンテナンスを行わない場合、虫歯や歯周病のリスクが高まります
担当歯科医師名 金田叔朗

治療前

治療前画像 治療前画像 治療前画像

治療中

治療後

治療後画像 治療後画像 治療後画像

さわだデンタルクリニック

住所

〒581-0867
大阪府八尾市山本町1-10-5

最寄駅

河内山本駅より徒歩2分

駐車場

有り(5台)

09:30〜19:00
お電話でのお問い合わせ

072-999-8888

BACK TO TOP

アクセスアイコン

アクセス

料金アイコン

料金

お電話アイコン

お電話

メニュー