〒581-0867
大阪府八尾市山本町1-10-5

電話マーク

お電話

メニュー

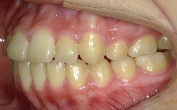
10代女性 オープンバイトと突出した前歯をアンカースクリューを用いた矯正治療とセットバック手術の併用で改善した症例

/

矯正

治療前

治療前画像

治療後

治療後画像
ご相談内容 「上の前歯が飛び出ていて、噛み合わせが悪い。ほかの歯科医院で行っていた矯正治療の続きをお願いしたい」とご相談いただきました。
カウンセリング・診断結果 上下の奥歯(第1大臼歯/6番)を基準に上あごと下あごの位置関係を調べたところ、下あごが上あごに対し正常な位置より後ろに下がっている「骨格性2級」であることがわかりました。
これにより、上の歯並びが前方に突出する「上顎前突」が生じており、見た目の美しさが損なわれています。

また、奥歯で噛んだときに前歯から小臼歯にかけて上下の歯がしっかり噛み合わない「開咬(オープンバイト)」も認められました。今回の場合、上下左右の奥歯2本(第1大臼歯、第2大臼歯/7番)以外、すべての歯が噛み合っておらず、食事もしにくい状態です。

患者様は過去の矯正治療で上左右の小臼歯(第1小臼歯/4番)を抜いており、抜歯でできたスペースに手前の歯(犬歯/3番)を引っ張ることで、前歯を全体的に後ろに下げようとした形跡がありました。
しかし、閉じきらなかったスペースに前後の歯が傾斜して倒れこむ「ボーイング」が生じ、歯並びの乱れが悪化していました。
行ったご提案・治療内容 上の前歯の前突を改善する方法として、前歯を支えているあごの骨を部分的に切断し、あごの骨ごと前歯を後ろに下げる「セットバック手術」を提案しました。
患者様の場合、前突がかなり大きいため、骨格にアプローチし前歯をしっかりと後ろに下げられるセットバック手術が適していること、日帰りでの手術が可能で負担も抑えられることを説明したところ、治療に同意いただきました。

また、前歯から小臼歯にかけ生じているオープンバイトについては、下あごに矯正用のネジ「アンカースクリュー」を埋め込み、その部分を土台にして歯を引っ張る矯正とワイヤー矯正を併用します。
この方法であれば、下の奥歯を骨の中に沈め噛み合わせを低くすることによってほかの歯が噛み合うようにすることができるとお伝えし、了承いただきました。

まず、ワイヤー矯正の「マルチブラケット装置」を上下の歯に装着したあと、下あごの骨にアンカースクリューを埋入しました。
次に上の前歯部のセットバック手術を行い、その後、マルチブラケット装置とアンカースクリューを併用しながら、全体的な噛み合わせと歯並びを整えています。
治療期間の目安 10ヶ月
治療費総額の目安 約1,200,000円
(検査代、外科手術代、月々の調整料等を含む)
この治療のリスクについて ・ワイヤー矯正中、装置によってまれに頬の内側が傷つき、口内炎になる場合があります
・歯の移動に伴って、違和感や痛みを感じる場合があります
・冷たいものを飲んだときに歯がしみる「知覚過敏」の症状が出る場合があります
・正しいブラッシングやメンテナンスを行わない場合、虫歯や歯周病のリスクが高まります
・外科処置後に腫れ、出血が生じる場合があります
・外科処置後に痛みが長引く場合があります。必要に応じ痛み止めを併用します
担当歯科医師名 金田叔朗

治療前

治療前画像 治療前画像 治療前画像

治療中

治療後

治療後画像 治療後画像 治療後画像

さわだデンタルクリニック

住所

〒581-0867
大阪府八尾市山本町1-10-5

最寄駅

河内山本駅より徒歩2分

駐車場

有り(5台)

09:30〜19:00
お電話でのお問い合わせ

072-999-8888

BACK TO TOP

アクセスアイコン

アクセス

料金アイコン

料金

お電話アイコン

お電話

メニュー