〒581-0867
大阪府八尾市山本町1-10-5

電話マーク

お電話

メニュー

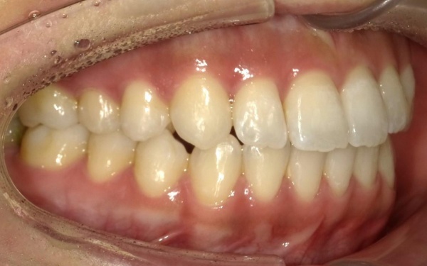
20代女性 前歯のオープンバイトをマルチブラケット装置とアンカースクリューを併用した非抜歯の矯正治療で改善した症例

/

矯正

治療前

治療前画像

治療後

治療後画像
ご相談内容 「前歯で食べ物がしっかり噛めないので診てほしい」とご相談いただきました。
カウンセリング・診断結果 拝見したところ、上下の奥歯を噛み合わせたときに前歯が噛み合わず隙間ができる「開咬(オープンバイト)」が生じており、前歯で食べ物を噛み切ることが難しい状態でした。

開咬の原因は、上下の前歯を舌で押したり前歯で舌を噛んだりする癖によるものと考えられ、またこの癖の影響で上下前歯が周囲の歯と比べると少し外側に傾いています。

このまま放置すると、噛み合わせたときに奥歯の負担が大きくなり、将来的に痛みが出る可能性があります。

審美性や機能性を改善し、前歯でしっかり噛めるようにするためにも、矯正治療を行う必要があると診断しました。
行ったご提案・治療内容 歯の表面に固定した器具にワイヤーを通して歯を動かす「マルチブラケット装置」と、矯正治療用の小さなネジ「アンカースクリュー」を併用する矯正治療を提案しました。

開咬の治療では、奥の歯を抜歯し矯正治療用のゴムで前歯を歯茎から引っ張り出す「挺出」を行い、噛み合わせを整えることがあります。
この方法では、挺出させた前歯や鼻下からあご先までの「下顔面」が伸びたように見えるため、審美性に欠け、さらには歯並びが後戻りしやすいという欠点もあります。

そこで、アンカースクリューを用いて奥歯を歯茎に押し込む「圧下」を行うことで、抜歯や前歯を挺出させずに治療できると説明したところ、同意いただきました。

まずマルチブラケット装置を取り付け、あごに埋めたアンカースクリューを固定源にして歯を動かしました。
アンカースクリューが骨にしっかりと固定されることで、歯の移動や位置調整などのコントロールがしやすくなり、効率的に歯を動かせます。
その後、整えた歯並びが元の状態に戻るのを防ぐための装置「リテーナー」を使用していただき、治療を終了しました。
治療期間の目安 矯正期間 9ヶ月
治療費総額の目安 約950,000円
(検査代や月々の調整料、リテーナー代等を含む)
この治療のリスクについて ・治療中、発音しにくい場合があります
・治療中、舌が動かしにくいことがあります
・治療中、装置によってまれに頬の内側が傷つき、口内炎になる場合があります
・歯の移動に伴って、違和感や痛みを感じる場合があります
・冷たいものを飲んだときに歯がしみる「知覚過敏」の症状が出る場合があります
・正しいブラッシングやメンテナンスを行わない場合、虫歯や歯周病のリスクが高まります
担当歯科医師名 金田叔朗

治療前

治療前画像 治療前画像

治療中

治療後

治療後画像 治療後画像

さわだデンタルクリニック

住所

〒581-0867
大阪府八尾市山本町1-10-5

最寄駅

河内山本駅より徒歩2分

駐車場

有り(5台)

09:30〜19:00
お電話でのお問い合わせ

072-999-8888

BACK TO TOP

アクセスアイコン

アクセス

料金アイコン

料金

お電話アイコン

お電話

メニュー