〒581-0867
大阪府八尾市山本町1-10-5

電話マーク

お電話

メニュー

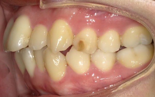
20代女性 アンカースクリューを活用して前歯の叢生や口元の前突感を改善し、特に下あごのオートローテーションによりあご先の位置を整えた症例

/

矯正

治療前

治療前画像

治療後

治療後画像
ご相談内容 「前歯のガタガタを治したいのと、口元を下げたい」とご相談いただきました。
カウンセリング・診断結果 拝見したところ、上下の前歯から奥歯の一部にかけて、歯が並ぶスペースが足りずガタガタに生える「叢生(そうせい)」が重度の状態でした。

また、上下の前歯が前に傾いている「上下顎前突」のため口が閉じづらく、口を閉じても口元が前に突出した「口ゴボ」と呼ばれる横顔です。
下あごが後方に回転していることであご先が後ろに下がる「アデノイド顔貌」でもありました。

口元の突出感をなくすためには抜歯してスペースを作り、歯並びを整える必要があると診断しました。
行ったご提案・治療内容 上下左右の歯(第1小臼歯/4番)を計4本抜歯し、歯の表面に器具を取り付けて歯並びを整えるワイヤー矯正の「マルチブラケット装置」を使用する治療を提案しました。
抜歯でできたスペースを利用して叢生を解消し、同時に前歯を後退させることで口の閉じづらさや口元の突出感を改善できることを説明したところ、治療に同意いただきました。

患者様のように叢生が重度で口元が突出している場合、抜歯によりできたスペースのほとんどは叢生の解消に使用されるため、前歯を後退させることが難しくなる可能性があります。
そのため、マルチブラケット装置に加え、矯正治療用の小さなネジ「アンカースクリュー」を上に3本埋め、アンカースクリューを固定源とすることで、抜歯後のスペースが減少しても歯をしっかり後退させることが可能です。

下あごの位置を移動させるために、アンカースクリューを固定源として奥歯を歯茎の方向に押し下げる「圧下移動」も行いました。
圧下により、あごの関節を中心に下あごが前方回転する「オートローテション」が生じる噛み合わせとなり、下がっているあご先の位置も整いました。

さらに前歯の傾きにも注意しながら慎重に調整を重ね、全体的なバランスを整えることで歯並びと口元の突出感を改善しています。
治療期間の目安 1年8ヶ月
治療費総額の目安 約950,000円
(検査代や月々の調整料、リテーナー代等を含む)
この治療のリスクについて ・外科処置後に腫れ、出血が生じる場合があります
・外科処置後に痛みが長引く場合があります。必要に応じ痛み止めを併用します
・治療中、装置によってまれに頬の内側が傷つき、口内炎になる場合があります
・歯の移動に伴って、違和感や痛みを感じる場合があります
・冷たいものを飲んだときに歯がしみる「知覚過敏」の症状が出る場合があります
・正しいブラッシングやメンテナンスを行わない場合、虫歯や歯周病のリスクが高まります
担当歯科医師名 金田叔朗

治療前

治療前画像 治療前画像 治療前画像 治療前画像 治療前画像 治療前画像 治療前画像 治療前画像

治療中

治療後

治療後画像 治療後画像 治療後画像 治療後画像 治療後画像 治療後画像 治療後画像 治療後画像

さわだデンタルクリニック

住所

〒581-0867
大阪府八尾市山本町1-10-5

最寄駅

河内山本駅より徒歩2分

駐車場

有り(5台)

09:30〜19:00
お電話でのお問い合わせ

072-999-8888

BACK TO TOP

アクセスアイコン

アクセス

料金アイコン

料金

お電話アイコン

お電話

メニュー