〒581-0867
大阪府八尾市山本町1-10-5

電話マーク

お電話

メニュー

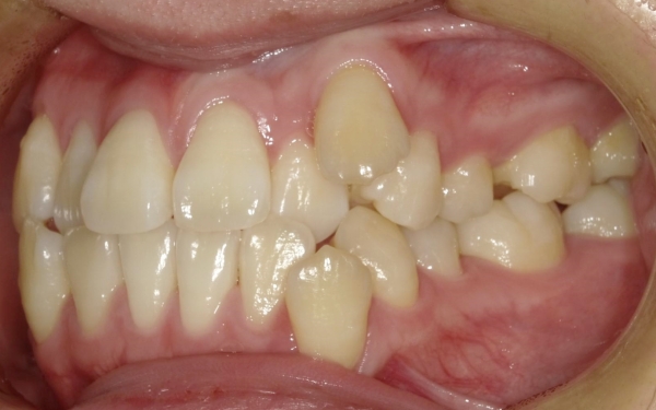
20代女性 八重歯と前歯のガタつきをマルチブラケット装置とアンカースクリューの併用で改善した症例

/

矯正

治療前

治療前画像

治療後

治療後画像
ご相談内容 「前歯のガタつきと八重歯が気になる。噛み合わせも悪いので治したい」とご相談いただきました。
カウンセリング・診断結果 拝見したところ、上下左右の前歯と前から5番目までの小臼歯は、歯が生えそろうスペースが不足し、歯が正常な位置からずれたりねじれたりしてガタガタに生えている「叢生(そうせい)」の状態です。
また、上左右の側切歯は下左右の側切歯の内側に噛み込んでおり、噛み合わせが反対になる「クロスバイト」が見られます。
さらに、上下左右の犬歯は他の歯と比べて低い位置に生えて唇側へ傾いている「低位唇側傾斜」です。

以上のことから、矯正治療で歯並びや噛み合わせを改善する必要があると診断しました。
行ったご提案・治療内容 歯を動かすスペースを確保するために、右上と左右下の第1小臼歯(4番)3本と、左上の第2小臼歯1本の計4本の歯を抜く必要があることを説明し、了承いただきました。

また、抜歯後は以下2つの方法を併用して治療する方針をお伝えしました。

1:歯の表面に四角い装置「ブラケット」を装着し、そこにワイヤーを通して歯を動かす「マルチブラケット装置」を使用する。マルチブラケット装置は歯の1本1本にブラケットを装着するため、精密な歯の移動が可能
2:上下の顎の骨に歯科矯正用の小さなネジ「アンカースクリュー」を埋め込んで土台とし、歯を引っ張りながらより効率的に歯を動かす。アンカースクリューは他の歯に負担をかけることなく歯を動かせるため、治療期間を短縮できるメリットがある

まず、矯正治療に必要な検査を行い、計4本の抜歯を行います。
その後、顎の骨にアンカースクリューを埋め込んでマルチブラケット装置を装着し、定期的に調整をしながら歯を適切な位置へ動かしていきました。
矯正治療が完了したあとは、歯の後戻りを防止するための装置「リテーナー」を装着していただき、歯並びと噛み合わせをしっかり整えて、治療を終了しています。
治療期間の目安 矯正期間 1年10ヶ月
治療費総額の目安 約950,000円
(検査代や月々の調整料、リテーナー代等を含む)
この治療のリスクについて ・外科処置後に腫れ、出血が続く場合があります
・外科処置後に痛みが長引く場合があります。必要に応じ痛み止めを併用します
・治療中、装置によってまれに頬の内側が傷つき、口内炎になる場合があります
・歯の移動に伴って、違和感や痛みを感じる場合があります
・冷たいものを飲んだときに歯がしみる「知覚過敏」の症状が出る場合があります
・正しいブラッシングやメンテナンスを行わない場合、虫歯や歯周病のリスクが高まります
担当歯科医師名 金田叔朗

治療前

治療前画像 治療前画像

治療中

治療後

治療後画像 治療後画像

さわだデンタルクリニック

住所

〒581-0867
大阪府八尾市山本町1-10-5

最寄駅

河内山本駅より徒歩2分

駐車場

有り(5台)

09:30〜19:00
お電話でのお問い合わせ

072-999-8888

BACK TO TOP

アクセスアイコン

アクセス

料金アイコン

料金

お電話アイコン

お電話

メニュー